514 739-0097
info@drlechner.ca

Cas cliniques - Avant/Après

Découvrez quelques photos Avant/Après de patients traités par le Dr Lechner. Ces images sont fournies à titre d’exemple, chaque patient ayant des besoins uniques.

 

Le Dr Lechner ainsi que son équipe dévouée, sont disponibles pour vous conseiller et élaborer le plan de traitement le mieux adapté à votre cas clinique.

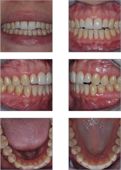
CAS 1

HOMME - 18 ANS

DIAGNOSTIQUE : Chevauchement
TRAITEMENT : Invisalign® pour 10 mois et blanchiment
Avant
Après
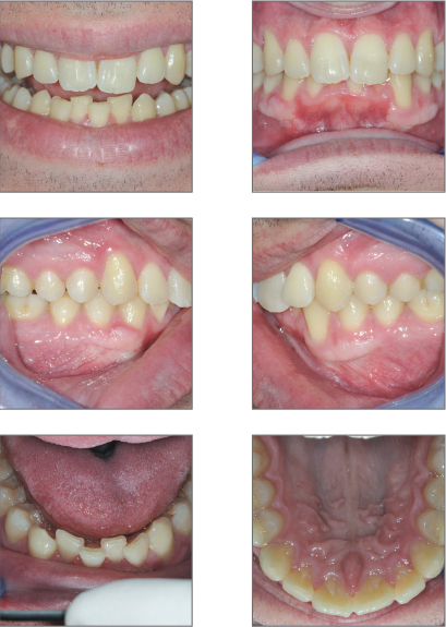
CAS 2

HOMME - 30 ANS

DIAGNOSTIQUE : Chevauchement
TRAITEMENT : Invisalign® pour 16 mois, blanchiment et réjuvénation de l’émail
Avant
Après
CAS 3

FEMME - 54 ANS

DIAGNOSTIQUE : Espacement
TRAITEMENT : Invisalign® pour 10 mois, blanchiment et réjuvénation de l’émail
Avant
Après
CAS 4

HOMME - 35 ANS

DIAGNOSTIQUE : Espacement
TRAITEMENT : Invisalign® pour 6,5 mois, blanchiment et facettes
Avant
Après
CAS 5

FEMME - 17 ANS

DIAGNOSTIQUE : Chevauchement
TRAITEMENT : Invisalign® pour 9,5 mois et blanchiment
Avant
Après
CAS 6

FEMME - 15 ANS

DIAGNOSTIQUE : Chevauchement
TRAITEMENT : Invisalign® pour 6,5 mois, blanchiment et facettes
Avant
Après
CAS 7

FEMME - 36 ANS

DIAGNOSTIQUE : Chevauchement
TRAITEMENT : Invisalign® pour 5 mois et blanchiment
Avant
Après
CAS 8

HOMME - 42 ANS

DIAGNOSTIQUE : Chevauchement
TRAITEMENT : Invisalign® pour 20 mois et blanchiment
Avant
Après
CAS 9

FEMME - 21 ANS

DIAGNOSTIQUE : Chevauchement
TRAITEMENT : Invisalign® pour 8,5 mois et blanchiment
Avant
Après
CAS 10

FEMME - 26 ANS

DIAGNOSTIQUE : Béance antérieure (open bite) et chevauchement
TRAITEMENT : Invisalign® pour 4,5 mois et blanchiment
Avant
Après
CAS 11

FEMME - 50 ANS

DIAGNOSTIQUE : Béance antérieure (open bite) et chevauchement
TRAITEMENT : Invisalign® pour 11 mois, blanchiment et réjuvénation de l’émail
Avant
Après
CAS 12

FEMME - 32 ANS

DIAGNOSTIQUE : Chevauchement
TRAITEMENT : Invisalign® pour 10 mois, blanchiment et réjuvénation de l’émail
Avant
Après
CAS 13

FEMME - 16 ANS

DIAGNOSTIQUE : Chevauchement
TRAITEMENT : Invisalign® pour 9 mois et blanchiment
Avant
Après
CAS 14

FEMME - 25 ANS

DIAGNOSTIQUE : Chevauchement
TRAITEMENT : Invisalign® pour 7,5 mois, blanchiment et réjuvénation de l’émail
Avant
Après
CAS 15

HOMME - 21 ANS

DIAGNOSTIQUE : Chevauchement
TRAITEMENT : Invisalign® pour 11 mois, blanchiment et réjuvénation de l’émail
Avant
Après
CAS 16

FEMME - 51 ANS

DIAGNOSTIQUE : Chevauchement
TRAITEMENT : Invisalign® pour 11 mois, blanchiment et réjuvénation de l’émail
Avant
Après
CAS 17

FEMME - 53 ANS

DIAGNOSTIQUE : Chevauchement, occlusion croisée
TRAITEMENT : Invisalign® pour 8 mois, blanchiment et réjuvénation de l’émail
Avant
Après
CAS 18

HOMME - 24 ANS

DIAGNOSTIQUE : Chevauchement
TRAITEMENT : Invisalign® pour 10 mois, blanchiment et réjuvénation de l’émail
Avant
Après
CAS 19

FEMME - 60 ANS

DIAGNOSTIQUE : Espacement
TRAITEMENT : Invisalign® pour 12,5 mois, blanchiment et réjuvénation de l’émail
Avant
Après
CAS 20

FEMME - 43 ANS

DIAGNOSTIQUE : Chevauchement
TRAITEMENT : Invisalign® pour 7,5 mois, blanchiment et réjuvénation de l’émail
Avant
Après

TESTER VOTRE FUTUR SOURIRE EN 2 VISITES DE SIMULATION

Promotion en ligne
Pour seulement
750$

Souriez avec confiance grâce à notre expertise en esthétique dentaire